Содержание
Рентгенография является самым распространенным методом обследования легких. Она назначается гораздо чаще МРТ или КТ из-за своей небольшой стоимости. Суть этого метода заключается в рентгеновском излучении, которое проходит через тело человека и в различной степени отражается на пленке в зависимости от того, через какую ткань проходит.
Многие считают, что флюорография и рентгенография – это одно и то же. Принцип этих диагностических методов действительно один и тот же, но флюорография менее информативна, с ее помощью можно определить только значительные нарушения, при этом доза облучения во время рентгенографии меньше.
Рентген легких: показания и противопоказания
Рентгенография – популярный и информативный метод обследования легких
Рентген легких в отличие от флюорографии редко назначается в профилактических целях. Обычно эта процедура рекомендуется при наличии характерных жалоб у пациента. Несмотря на то, что рентгенография более информативная, она и более дорогостоящая, поэтому для профилактической проверки здоровья до сих пор применяется флюорография.
Описание рентгеновских снимков занимает больше времени и включает целый ряд параметров. Расшифровкой снимков должен заниматься врач-рентгенолог. На руки пациенту выдается готовое заключение.
Рентгенография применяется как при постановке диагноза, так и при уже известном диагнозе для проверки эффективности лечение.
Показаниями к проведению процедуры являются:
- Хронический кашель. При длительных и мучительных приступах кашля, которые длятся более месяца, рекомендуется сделать рентген.
- Боль в легких. Любые болезненные ощущения в легких во время кашля или при движении, а также одышка требуют обязательного обследования.
- Кровохарканье. Появление крови в мокроте – это тревожный симптом, который нельзя игнорировать. Кровохарканье может быть симптомом многих серьезных заболеваний, поэтому рекомендуется полное обследование.
- Беспричинная потеря веса. В случае резкой потери веса рекомендуется сделать рентген легких, чтобы исключить онкологию.
- Проверка состояния во время лечения. Рентген делают в обязательном порядке при пневмонии, туберкулезе легких, плеврите, раке легких. Рекомендуется проходить рентгенографию не чаще, чем раз в полгода, но в случае крайней необходимости возможно более частое проведение процедуры.
Доза облучения, которую получает человек во время процедуры, невелика и не наносит вреда здоровому организму. Но рентгеновское излучение негативно сказывается на активно делящихся клетках, поэтому эту процедуру не рекомендуется проводить детям и беременным женщинам.
К рентгеновскому излучению особенно чувствительны половые клетки. Чтобы избежать нарушений половой системы до наступления полового созревания профилактическая рентгенография не проводится. Эта процедура назначается только по жизненным показаниям.
Врачи подчеркивают важность тщательного анализа рентгеновских снимков легких для диагностики различных заболеваний. При оценке легочных полей специалисты обращают внимание на их прозрачность, структуру и наличие патологических изменений. Например, затемнения могут указывать на воспалительные процессы, такие как пневмония или туберкулез, в то время как усиление легочного рисунка может свидетельствовать о хронических заболеваниях, таких как бронхит или эмфизема. Кроме того, врачи отмечают, что правильная интерпретация рентгенограмм требует не только знаний анатомии, но и клинического опыта, так как многие патологии могут проявляться схожими признаками. Важно учитывать сопутствующие симптомы и историю болезни пациента для более точного диагноза.

Подготовка и процедура
Процедура рентгенографии легких
Процедура рентгенографии проводится очень быстро и безболезненно. Подготовки никакой не требуется. Перед проведением процедуры не нужно придерживаться диеты или менять свой образ жизни.
Современное оборудование позволяет полноценно обследовать легкие при минимальных облучениях. Поэтому рекомендуется выбирать клиники с новым рентген-аппаратом. Формат снимков обычно универсальный, поэтому с полученным результатом потом можно будет обращаться в любую клинику.В указанное время пациент приходит к рентген-кабинету с направлением. Процедура занимает не более нескольких минут.
Пациент раздевается по пояс полностью и снимает все металлические украшения. На шее не должно быть никаких подвесок и цепочек. Длинные волосы необходимо собрать в пучок и поднять над линией шеи.Если оборудование современное, можно проходить процедуру в белье, но если оно не содержит металлических предметов и синтетики.
При необходимости процедуру можно проводить лежа или сидя.
На пациента надевают специальный фартук, если есть необходимость провести процедуру беременной женщине, фартуком закрывают живот и репродуктивные органы.
Если процедура обзорная (обследуются все легкие), то пациент встает прямо между лучевой трубкой и принимающим экраном. Врач просит пациента задержать дыхание на время действия аппарата. Это длится не более нескольких секунд, после чего пациент выдыхает и может одеваться.
Больше информации о рентгенографии можно узнать из видео:
Если процедура прицельная и обследуется определенный участок легкого, то пациент просят встать или сесть определенным образом (чтобы лучи проходили под определенным углом). В остальном прицельная рентгенография ничем не отличается от обзорной.
Результат выдается пациенту в течение часа. Соблюдение правил проведения процедуры важно, поскольку на достоверность результатов влияют многие факторы. Даже прядь волос, которая упала на спину и отразилась на снимке может привести к ошибочному результату.Также на результат влияет положение тела, выполнение рекомендаций врача. Если пациент вдохнул или пошевелился во время проведения процедуры, результат будет искажен.
Медицинский алгоритм чтения рентгенограммы
Заниматься расшифровкой может только врач-рентгенолог
Чтение рентгеновских снимков – это сложный процесс. Он занимает некоторое время, поскольку описать нужно множество параметров.
При расшифровке обязательно учитывается качество снимка и теневая картина. Если на снимке картина нечеткая, пациента попросят сделать рентген еще раз через некоторое время.
Примерный алгоритм чтения рентгенограммы включает в себя следующие пункты:
- Проекция снимка. Необходимо учитывать, в какой проекции был сделан снимок (боковая, задняя, передняя). Врач обязательно берет в расчет погрешности, которые допускаются в той или иной проекции.
- Форма грудной клетки. Грудная клетка пациента может быть бочкообразной, воронкообразной или цилиндрической.
- Объем легких. Оценивается общий объем легких. Он может быть пониженным, нормальным или повышенным.
- Наличие очаговых или инфильтративных теней. На снимке кости отображаются белым цветом, ткань легких или образования – серым, а пустоты – черным. Если на сером поле есть темные пятна, это может указывать на воспаление или новообразование. При наличии такого пятна врач подробно описывает его размеры и локализацию.
- Деформация легочного рисунка. В норме рисунок не деформирован, он имеет четкие края, что говорит о нормальном кровообращении в тканях легких.
- Структура корней. Под этой фразой понимается описание легочных артерий. У здорового человека они имеют четкую структуру. Если же артерии расширены и на снимке в области корней есть затемнения, врач может заподозрить опухоль.
- Структура костной ткани. Врач оценивает, деформированы ли ребра, есть ли трещины, переломы.
- Диафрагма. Описывается структура диафрагмы, наличие изменений.
Если отклонения отсутствуют, после завершения чтения врач пишет в заключении «легкие без видимой патологии».
Расшифровка снимка – это сложная процедура. Даже опытный врач допускает, что при расшифровке можно допустить ошибку, поэтому при подозрении на серьезное заболевание (туберкулез, онкология) часто рекомендуется провести дополнительное обследование и уточнить диагноз.
Описание рентгеновских снимков и анализ легочных полей на рентгенограмме вызывают много обсуждений среди медицинских работников и пациентов. Многие отмечают, что качественная интерпретация снимков играет ключевую роль в диагностике заболеваний легких. Врачи подчеркивают важность внимательного изучения структуры легочной ткани, выявления возможных патологий, таких как пневмония, опухоли или хронические заболевания. Пациенты, в свою очередь, часто выражают беспокойство по поводу результатов, стремясь понять, что именно показывает снимок и какие последствия могут быть для их здоровья. Некоторые отмечают, что доступные объяснения и визуализация помогают им лучше осознать состояние своих легких. В целом, обсуждение рентгеновских снимков становится важной частью взаимодействия между врачом и пациентом, способствуя более глубокому пониманию и доверию в процессе лечения.

Описание патологий на снимке
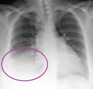
Признаки пневмонии на снимке
Любые патологии, обнаруженные на рентгенограмме, врач очень подробно описывает. Если есть подозрения, назначается КТ или МРТ для подтверждения диагноза.
У здорового человека рисунок легких четкий без лишних затемнений. С помощью рентгена можно обнаружить следующие патологии:
- Плеврит. При плеврите воспаляется серозная оболочка, которая окружает легкие. Он сопровождается характерными симптомами: увеличение грудной клетки, боль, повышение температуры тела, кашель. Часто плеврит сопровождается скоплением жидкости, поэтому на рентгеновском снимке он выглядит как оттягивание вперед трахеи.
- Онкология. Злокачественная опухоль выглядит на снимке как затемнение на ткани легких. Обычно это затемнение имеет четкие контуры. В некоторых случаях это могут быть увеличенные лимфоузлы, поэтому рекомендуется дополнительное обследование (УЗИ или МРТ).
- Туберкулез. При туберкулезе наблюдается сильный воспалительный процесс легочной ткани. На рентгенограмме он выглядит как несколько округлых очаговых теней. Как правило это увеличенные лимфоузлы. Также при туберкулезе легочный рисунок в верхней части усилен.
- Пневмония. Воспаление легких на рентгенограмме выявляется как инфильтративные затемнения и уменьшение прозрачности легочных полей. Как правило, врач диагностирует пневмонию безошибочно.
- Застойная недостаточность. При застойных явлениях легочный рисунок будет нечетким, а также на рентгенограмме можно заметить, что размеры сердца увеличены. Это сердечное заболевание, но оно отражается и на работе легких, появляется кашель, одышка, удушье в положение лежа, увеличение массы тела и появление отеков.
- Саркоидоз. Это заболевание, при котором поражаются многие органы. В тканях появляются гранулемы, которые нарушают их функционирование. При саркоидозе наблюдается деформация корней на снимке, а также округлые четкие затемнения.
Стоит помнить, что небольшие кисты или опухоли на рентгене могут не отображаться, закрываться ребрами или сердцем. Если тревожные симптомы продолжают беспокоить, через некоторое время нужно повторить процедуру или пройти МРТ.
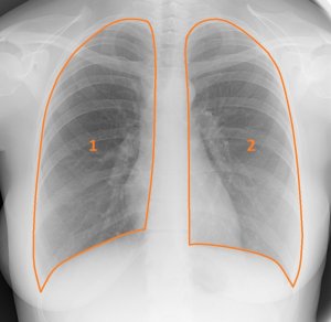
Анализ легочных полей на рентгенограмме
Правильный и тщательный анализ легочных полей поможет выявить различные заболевания
Под легочными полями понимаются те участки снимка, на которые проецировалась легочная ткань. Легочные поля располагаются по обе стороны от тени средостения.
Правильный и тщательный анализ легочных полей поможет выявить различные заболевания
Анализ легочных полей имеет несколько особенностей:
- Правое и левое легочное поле имеют разный размер. Правое, как правило, шире, но короче левого, а левое более узкое и вытянутое. Это считается нормой.
- Срединная тень не должна находиться точно в центре полей. Сердце слегка смещает ее, поэтому у здорового человека тень немного расширена с левой стороны. Это также не указывает на патологию.
- Чтобы было проще анализировать картинку легочных полей, ее делят на 3 части: внутреннюю среднюю и наружную. Каждая зона описывается отдельно.
- Оценивается прозрачность полей. Она зависит от того, насколько легкие наполняются воздухом и насколько полноценно легочная ткань напитывается кислородом. При нарушении кровообращения прозрачность полей будет изменена.
- У женщин описание легочных полей может быть изменено из-за мягких тканей молочных желез. Это учитывается при расшифровке снимка.
- При оценке легочного рисунка во внимание принимаются индивидуальные особенности организма. Это длительный и сложный процесс, провести грамотно его может только опытный специалист. Легочная артерия в каждой зоне легочных полей имеет различное направление. Также учитываются венозная и капиллярная сети.
- Плевра на снимке отображаться не должна. Она слишком тонкая. Если же она видна, значит ее стенки утолщены, что говорит о воспалении или опухоли. В некоторых случаях плевра отображается при боковых снимках.
- Артерии ветвятся в каждом легком по-разному. Поэтому оценивается каждый сегмент легочного поля. В правом легком их 10, в левом – 9.
Стоит помнить, что отсутствие пятен и затемнений на снимке не гарантирует отсутствие патологий. Если сохраняются тревожные признаки, нужно обратиться к врачу за дальнейшим обследованием.
Заметили ошибку? Выделите ее и нажмите Ctrl+Enter, чтобы сообщить нам.

Вопрос-ответ
Как описывать рентгенограмму легких?
Расшифровка рентгена легких включает описание легочной ткани, корней бронхов, синусов, тени сердца, аорты. При наличии патологического очага, описывается его форма, локализация, размеры, состав, плотность, очертания, связь с окружающими структурами.
Что пишут в заключении рентгена легких?
Рентгенография легких оценивает состояние, размер, форму и структурные особенности легких, а также расположение органов грудной клетки. Заключение включает данные о сердце, сосудах и лимфатической системе. Обнаруженные инородные тела, затемнения, доброкачественные или злокачественные новообразования также фиксируются.
Как выглядит результат рентгена легких?
Черными на снимке будет видна прослойка воздуха. В связи с тем, что рентгеновский снимок представляет из себя негатив, то «затемнением» называют более светлый участок. К примеру, если видны черные полностью легкие, то они здоровы. А вот светлое пятно на снимке называется тенью и говорит о воспалении легких.
Кто делает описание рентгена?
После получения снимка, рентгенолог делает заключение и передаёт его лечащему врачу, который направил пациента для прохождения рентгенографии. Описание содержит информацию о расположении и размере сердца, органах дыхания, состоянии сосудистой и лимфатической системы.
Советы
СОВЕТ №1
Перед анализом рентгеновских снимков убедитесь, что вы знакомы с анатомией легких и основными структурами, которые могут быть видны на изображениях. Это поможет вам лучше понять, что именно вы ищете и какие отклонения могут указывать на заболевания.
СОВЕТ №2
Обратите внимание на качество снимка. Нечеткие или плохо экспонированные рентгенограммы могут затруднить анализ. Если снимок неясен, лучше повторить его, чтобы избежать ошибок в интерпретации.
СОВЕТ №3
При анализе легочных полей ищите симметричность и однородность тканей. Обратите внимание на возможные затемнения, уплотнения или изменения в структуре легких, так как они могут указывать на наличие патологий, таких как пневмония или опухоли.
СОВЕТ №4
Не забывайте о клиническом контексте. Рентгеновские снимки следует рассматривать в сочетании с симптомами пациента и другими диагностическими данными, чтобы получить полное представление о состоянии легких и принять правильное решение о дальнейшем лечении.






